当前位置:肿瘤瞭望>资讯>快讯>正文

病例分享丨曹君教授:三阴曙光,SG助力晚期TNBC患者实现21个月以上PFS

作者:肿瘤瞭望   日期:2024/6/7 11:11:57  浏览量:8303

肿瘤瞭望版权所有,谢绝任何形式转载,侵犯版权者必予法律追究。

曾经,晚期三阴性乳腺癌(TNBC)的全身治疗仅有化疗,治疗效果差强人意。如今,随着靶向、免疫、抗体偶联药物(ADC)等治疗手段的发展,晚期TNBC治疗也迎来了长足的进步。本文中,复旦大学附属肿瘤医院曹君教授回顾了一例治疗跨度超过14年的TNBC患者,详细剖析患者从早期到晚期的治疗经过,尤其是TNBC晚期治疗进展后,Trop-2 ADC戈沙妥珠单抗(SG)为患者带来新的机遇,PFS已经超过21个月仍在随访中。此类新型ADC的疗效和安全性优势明显,可作为晚期TNBC二线治疗的优选,有效延长患者生存,使TNBC实现慢病管理成为可能。

编者按:曾经,晚期三阴性乳腺癌(TNBC)的全身治疗仅有化疗,治疗效果差强人意。如今,随着靶向、免疫、抗体偶联药物(ADC)等治疗手段的发展,晚期TNBC治疗也迎来了长足的进步。本文中,复旦大学附属肿瘤医院曹君教授回顾了一例治疗跨度超过14年的TNBC患者,详细剖析患者从早期到晚期的治疗经过,尤其是TNBC晚期治疗进展后,Trop-2 ADC戈沙妥珠单抗(SG)为患者带来新的机遇,PFS已经超过21个月仍在随访中。此类新型ADC的疗效和安全性优势明显,可作为晚期TNBC二线治疗的优选,有效延长患者生存,使TNBC实现慢病管理成为可能。
 
病例介绍
 
患者女性,59岁,绝经5年。
 
▌主诉
 
右乳腺癌术后11年余,胸闷进行性加重1月余
 
▌现病史
 
2010年6月,患者于外院右乳穿刺,病理:(右乳)浸润性导管癌;免疫组化:ER(-/+,个别细胞阳性),PR(-),neu(-),Ki67(+)约60%。
 
外院予以4个周期新辅助化疗(多西他赛+奥沙利铂),后行右乳腺癌改良根治术,术后病理:浸润性导管癌,II级,腋窝淋巴结4/24阳性,脉管癌栓(+);ER(-),PR(-),Her2(++)/FISH(-),Ki-67(+)<5%。
 
术后予以4个周期EC(表柔比星联合环磷酰胺)辅助化疗,辅助放疗25次。
 
DFI=11年。
 
2021年5月出现胸闷,伴活动后气促,呈进行性加重,至我院就诊,完善以下辅助检查。
 
胸部CT(2021年6月):右乳术后胸骨转移伴周围软组织增厚。左锁骨上及纵隔疑有肿大淋巴结。左侧胸腔大量积液,左肺不张。左肺上叶胸膜下微小结节同前。
 
全身PET/CT(2021年6月):右乳术后,左侧锁骨区、内乳、主动脉弓旁、左侧膈上多发淋巴结转移;左侧胸膜转移伴同侧大量胸腔积液,左肺膨胀不全;胸骨转移;心包少量积液。
 
左锁骨上淋巴结穿刺(2021年6月):转移性腺癌,结合免疫组化,符合乳腺癌转移;免疫组化:ER(-),PR(-),Her2(++)/FISH(-),Ki-67(+)约70%。
 
▌入院诊断
 
右乳癌术后,骨、淋巴结转移,胸腔积液
 
▌晚期一线治疗
 
入院后,予以帕博利珠单抗+白蛋白结合型紫杉醇(ABX)+顺铂(DDP)治疗6周期(临床研究),后予以帕博利珠单抗维持治疗,期间定期使用双膦酸盐骨修复治疗。
 
一线治疗不良事件:第1周期化疗后出现4度粒缺,伴发热39.3℃,胸部CT示左肺炎(图1),予以抗炎治疗后恢复;第2周期化疗减量20%;纳差1度,乏力1度。
 
图1.一线化疗1周期后胸部CT示左肺炎
 
2022年5月再次出现胸闷气促。
 
2022年6月胸部CT示右乳术后改变,左锁骨区、纵隔多发淋巴结转移;较前增多、增大,;左侧胸腔积液伴左肺部分膨胀不全;右肺胸膜下治疗后改变同前;胸骨转移大致同前;右侧锁骨骨质密度局部稍欠均同前,考虑PD。
 
一线治疗评价:最佳疗效PR;PFS1=12个月。

▌晚期二线治疗
 
介入科会诊认为该患者淋巴结穿刺活检困难,遂行左侧胸腔积液穿刺引流,胸水细胞块病理:见恶性肿瘤细胞,诊断为癌,倾向腺癌;免疫组化:ER(-),PR(-),HER2(1+),Ki-67(+)约30%。二次复发明确,伴癌性胸水,拟接受二线治疗。
 
二线治疗前(2022年7月)患者再次出现高热,于外院诊断肺炎(图2)。抗炎治疗3周后,肺炎有所好转(图3),体温恢复。
 
图2.二线治疗前胸部CT示左肺炎
 
图3.抗炎治疗3周后胸部CT示左肺炎好转
 
二线治疗思考:
 
患者为HER2低表达型TNBC,一线免疫联合化疗1年后二次复发进展。既往一线化疗后出现严重的粒缺伴发热和肺炎,考虑化疗耐受性差,遂选择血液毒性更小的新型ADC。在诸如ABC7等共识指导发布之前,2021年报道ASCENT研究[1-2]的SG和2022年ASCO报道DB-04研究[3]的T-DXd作为并行可选方案考量。但患者在治疗期间反复出现肺炎,而间质性肺病/肺炎(ILD/p)是T-DXd治疗中广受关注的特殊不良事件,遂从安全性角度考虑选择戈沙妥珠单抗(SG)该患者治疗用药,且2022年ESMO-BC报道ASCENT研究的事后分析[3]也进一步显示,SG在晚期三阴性乳腺癌人群的PFS和OS获益不受HER2表达状态影响。此外,SG的不良事件以腹泻、中性粒细胞减少为主,ILD/p极其罕见;而且腹泻、中性粒细胞减少的临床处理经验成熟,ASCENT研究的安全性事后分析[4]显示,SG治疗相关腹泻和中性粒细胞并不影响患者PFS和OS预后。基于上述考虑,选择SG作为本例患者二线治疗。
 
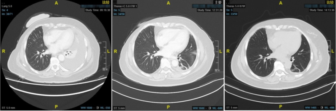
2022年8月起,患者接受戈沙妥珠单抗单药二线治疗,1周期后胸闷气喘明显好转,治疗2周期后(2022年9月)胸部CT:左锁骨区、纵隔多发淋巴结转移,部分较前减小(图4);左侧胸腔积液伴左肺部分膨胀不全较前好转(图5);左肺胸膜下治疗后改变可能同前;胸骨转移同前相仿;右侧锁骨骨质密度局部稍欠均同前相仿。
 
SG治疗2周期后疗效评价PR。
图4.纵隔淋巴结(左:基线;中:2周期后;最近一次复查)
 
图5.左侧胸腔积液(左:基线;中:2周期后;最近一次复查)
 
肿瘤标志物(CA15-3、CEA、CA125)如图6所示:
 
图6.SG二线治疗前后的肿瘤标志物
 
安全性评价:耐受性良好,纳差1度,乏力1度,中性粒细胞下降2度,脱发2度。
 
二线治疗评价:最佳疗效PR;PFS2未达到(随访>21个月);OS未达到(随访>35个月)。

病例点评
 
TNBC是公认难治、易转移、预后差的乳腺癌亚型。因TNBC缺乏致癌靶点、受体均为阴性,对靶向和内分泌治疗不敏感;加之其恶性程度高、侵袭性强、易向淋巴结及内脏转移,故而预后极差[5]。以往晚期TNBC全身治疗以化疗为主,中位OS不足1年,5年生存率不足20%[6]。几年来,免疫检查点抑制剂及抗体偶联药物(ADC)已成为TNBC的有效治疗手段。
 
本例患者为HER2低表达型TNBC,一线免疫治疗发生较为严重的粒缺伴发热和肺炎等不良事件,二线治疗不能耐受化疗。在新型ADC的选择中,二次复发就诊时已报道了ASCENT和DB-04两项3期临床试验,均可作为此类患者的治疗选择。T-DXd治疗存在ILD/p方面的顾虑,在管理经验不足以及有肺炎病史的情况下,临床应用需审慎。ASCENT研究在晚期TNBC中疗效和安全性已得到证实,两项ASCENT研究事后分析[3-4]的报道,更增加了临床医生使用SG的信心:一方面是不同HER2表达水平(包括HER2低表达和零表达)的患者均可从SG治疗中带来显著的PFS和OS获益;二是腹泻和中性粒细胞这些SG常见的不良事件并不会对PFS和OS带来影响(图7),因其临床处理经验丰富。
 
图7.ASCENT事后分析:腹泻和中性粒细胞对PFS和OS均无影响
 
在一系列循证医学证据的推动下,美国食品药品监督管理局(FDA)和中国国家药品监督管理局(NMPA)已陆续批准SG用于二线及以上治疗mTNBC[7-8]。这些研究公布后,ABC7晚期乳腺癌专家共识投票中,有90.5%(38/42)的专家赞成SG应该早于T-DXd使用(图8);而NCCN指南则将SG推荐作为晚期TNBC二线治疗的1类优选方案,而且不受HER2表达状态的限制(图9)[9]。在国内,最新版的2024年CBCS指南推荐戈沙妥珠单抗作为TNBC后线治疗选择,且不需常规检测TROP-2(图10)[10];2024版的CSCO指南则将戈沙妥珠单抗作为晚期TNBC解救治疗唯一推荐的新型ADC(图11)[11]。这些指南共识的更新,再次印证了本例患者在此前的治疗选择是合理的,戈沙妥珠单抗可作为晚期TNBC二线治疗的优选。我们也期待有更多的证据能够为新型ADC序贯治疗带来更多指导。
 
图8.ABC7专家共识投票
 
图9.2024年V1版NCCN指南
 
图10.2024版CBCS指南
 
图11.2024版CSCO指南
 
参考文献
 
[1]Bardia A,Hurvitz SA,Tolaney SM,et al.Sacituzumab Govitecan in Metastatic Triple-Negative Breast Cancer.N Engl J Med.2021;384(16):1529-1541.doi:10.1056/NEJMoa2028485
 
[2]Bardia A,et al.Sacituzumab govitecan(SG)versus treatment of physician’s choice(TPC)in patients(pts)with previously treated,metastatic triple-negative breast cancer(mTNBC):Final results from the phase 3 ASCENT study.2022 ASCO.Abatract 1071
 
[3]Modi S,Jacot W,Yamashita T,et al.Trastuzumab Deruxtecan in Previously Treated HER2-Low Advanced Breast Cancer.N Engl J Med.2022;387(1):9-20.doi:10.1056/NEJMoa2203690
 
[4]Hurvtiz A,Bardia A,Punie K,et al.Sacituzumab govitecan(SG)efficacy in patients with metastatic triple-negative breast cnacer(mTNBC)by HER2 immunohistochemistry(IHC)status:findings from the phase 3 ASCENT study.Presented at:European Society for Medical Oncology[5]Breast Cancer Congress 2022.May 3-5,2022;Berlin,Germany
 
Geurts V,Kok M.Immunotherapy for Metastatic Triple Negative Breast Cancer:Current Paradigm and Future Approaches.Curr Treat Options Oncol.2023;24(6):628-643.doi:10.1007/s11864-023-01069-0
 
[6]Hsu JY,Chang CJ,Cheng JS.Survival,treatment regimens and medical costs of women newly diagnosed with metastatic triple-negative breast cancer.Sci Rep.2022;12(1):729.Published 2022 Jan 14.doi:10.1038/s41598-021-04316-2
 
[5]Evandro de Azambuja,Flavia Jacobs,Matteo Lambertini et al.Relationship of Diarrhea and Neutropenia Events With Outcomes in Patients With Metastatic Triple-Negative Breast Cancer(mTNBC)Treated With Sacituzumab Govitecan(SG):Post hoc Analysis From the Phase 3 ASCENT Study.Poster 198P.2023 ESMO BC.
 
[7]FDA grants accelerated approval to sacituzumab govitecan-hziy for metastatic triple negative breast cancer.Accessed April 2023.Available at:https://www.fda.gov/drugs/resources-information-approved-drugs/fda-grants-accelerated-approval-sacituzumab-govitecan-hziy-metastatic-triple-negative-breast-cancer
 
[8]进口药品——“国药准字SJ20220015”基本信息.Accessed April 2023.Available at:https://www.nmpa.gov.cn/datasearch/search-info.html?nmpa=aWQ9ODczZDVjNjVmYjgxNTA4MjJiYzJiMzhhNjVjYzYwMWQmaXRlbUlkPWZmODA4MDgxODNjYWQ3NTAwMTg0MDg4NjY1NzExODAw
 
[9]NCCN Guidelines Version 1.2024.Invasive Breast Cancer
 
[10]中国抗癌协会乳腺癌专业委员会,中华医学会肿瘤学分会乳腺肿瘤学组,邵志敏.中国抗癌协会乳腺癌诊治指南与规范(2024年版)[J].中国癌症杂志,2023,33(12):1092-1186.DOI:10.19401/j.cnki.1007-3639.2023.12.004.
 
[11]中国临床肿瘤学会(CSCO)指南工作委员会.CSCO乳腺癌诊疗指南(2024).人民卫生出版社
 
曹君教授
复旦大学附属肿瘤医院
乳腺及泌尿肿瘤内科
副主任医师
上海市抗癌协会乳腺癌专业委员会青年委员
上海市抗癌协会肿瘤药物临床研究专业委员会委员
上海市抗癌协会癌症康复与姑息治疗专业委员会委员
上海市女医师协会乳腺专委会委员
中国医药教育协会肿瘤转移专业委员会委员
中国女医师协会乳腺专委会委员
长江学术带乳腺联盟(YBCSG)委员
《中国癌症杂志》审稿专家
参与编写《肿瘤科常见诊疗问题问答》、《乳腺肿瘤治疗学》、《肿瘤内科治疗手册》、《肿瘤内科化疗方案手册》等多部书籍
CN-TRO-0171

 

本内容仅供医学专业人士参考


乳腺癌

分享到: 更多