当前位置:肿瘤瞭望>资讯>快讯>正文

优案共赏丨刘莉萍教授、刘斌亮教授:PFS超6个月!SG助力脑转移TNBC患者绝处逢生

作者:肿瘤瞭望   日期:2024/7/3 10:42:15  浏览量:8382

肿瘤瞭望版权所有,谢绝任何形式转载,侵犯版权者必予法律追究。

乳腺癌脑转移除了有限的局部治疗手段以外,传统化疗的疗效不佳,患者预后较差;尤其是三阴性乳腺癌(TNBC)此类本身较为凶险的乳腺癌类型,一旦发生脑转移,化疗带来的OS获益有限[1]。本文中,湖南省肿瘤医院乳腺内科刘斌亮医生分享了一例晚期TNBC发生淋巴结、肝、脾、骨、脑转移等多个脏器转移,一线化疗仅有2个月的PFS,但通过新型TROP-2抗体偶联药(ADC)戈沙妥珠单抗(Sacituzumab govitecan,SG)获得较为满意的颅内和颅外控制效果。《肿瘤瞭望》特邀湖南省肿瘤医院乳腺内科刘莉萍教授对该病例的诊治进行点评。

编者按:乳腺癌脑转移除了有限的局部治疗手段以外,传统化疗的疗效不佳,患者预后较差;尤其是三阴性乳腺癌(TNBC)此类本身较为凶险的乳腺癌类型,一旦发生脑转移,化疗带来的OS获益有限[1]。本文中,湖南省肿瘤医院乳腺内科刘斌亮医生分享了一例晚期TNBC发生淋巴结、肝、脾、骨、脑转移等多个脏器转移,一线化疗仅有2个月的PFS,但通过新型TROP-2抗体偶联药(ADC)戈沙妥珠单抗(Sacituzumab govitecan,SG)获得较为满意的颅内和颅外控制效果。《肿瘤瞭望》特邀湖南省肿瘤医院乳腺内科刘莉萍教授对该病例的诊治进行点评。
 
病例介绍
 
患者为54岁女性。既往体健,个人史、家族史无特殊,未绝经。
 
主诉:右乳癌综合治疗后1年余,发现多发转移2月余。
 
2018年6月无明显诱因发现右乳肿块,未重视,后逐渐增大;2021年5月外院超声示“右乳低回声区2.6 cm,BI-RADS 4b”,右乳穿刺活检病示“(右乳)浸润性癌,结合HE形态及免疫组化,符合基底细胞样型乳腺癌。免疫组化:ER(-)、PR(-)、Her-2(1+)、Ki-67(热点区80%)、E-Cad(+)、Calponin(-)、P63(部分肿瘤细胞+)、CK5/6(-)、GATA-3(+)、AR(-)”。
 
▌早期治疗
 
2021年5月外院接受AC-T新辅助治疗,共8周期。
 
2021年11月4日外院行右乳癌保乳术+右侧腋窝淋巴结清扫术。术后病理:右乳浸润性导管癌,非特殊型,III级,直径1cm,可见脉管癌栓;MP分级2级(上、下、内、外、顶、底)切缘,均未见癌侵犯。淋巴结转移0/15。免疫组化:ER(-)、PR(-)、Her2(1+)、Ki-67约70%(+)、AR(-)、CK5/6(+)、P63少数细胞(+)。
 
术后接受辅助放疗(具体不详),卡培他滨口服强化辅助治疗,至2022年5月自行停药。
 
术后诊断:
 
右乳浸润性导管癌(ypT1N0M0,HR-/HER2-Low)
 
新辅助治疗8周期后
 
▌一线治疗
 
2023年9月外院MR:肝内多发转移瘤较前增大增多,脾脏异常结节灶,考虑转移瘤可能,较前新发;心肝交界前缘肿大转移淋巴结可能性大;左侧小脑半球近小脑蚓部异常团状快信号,转移可能。
 
PET/CT:纵隔内、左肺门及右侧心膈角区多发大小不等淋巴结,考虑淋巴结转移;肝内多个大小不等低密度结节,考虑转移;脾内团块转低密度影,考虑转移;肝门区及腹膜后多发大小不等淋巴结,考虑淋巴结转移;T12椎体及附件、L4椎体、右侧髂骨、左侧股骨颈及左侧耻骨明显异常放射性浓聚影,考虑转移;左侧小脑半球近蚓部片状混杂密度影,考虑转移。
 
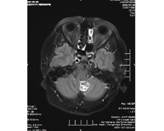
软脑膜MR平扫+增强+功能成像(DWI):小脑蚓部环状强化灶,考虑转移瘤可能性大。
 
△2023年9月头颅MR左小脑半球转移灶
 
诊断:
 
右乳浸润性导管癌
 
新辅助治疗8周期后
 
右乳癌保乳切除术后
 
多发淋巴结、肝、脾、骨、小脑转移
 
治疗评价:疾病复发,DFS=16个月。
 
▌晚期一线治疗
 
患者新辅助治疗阶段接受过AC序贯紫杉,未达到pCR,紫杉效果可能不佳;术后卡培他滨强化治疗不充分(自行停药),目前存在淋巴结、肝、骨和小脑转移。
 
放疗:无头晕、头痛以及其他颅神经受累症状,暂不需即刻放疗。
 
一线治疗:基础研究显示优替德隆分子量小,可克服P-糖蛋白介导的外排相关耐药,且可以透过血脑屏障,脑组织浓度高。本中心正在开展优替德隆联合卡培他滨方案用于HER2阴性乳腺癌脑转移一线治疗患者的单臂、多中心、开放性、探索性临床研究(NCTO5535413),患者自愿参加本临床试验,并于2023年9月28日开始接受优替德隆(45mg,D1-5)+卡培他滨(1.5g,bid,D1-14,q3w)。
 
△优替德隆在脑组织浓度高,具有脑转移防治潜力
 
▌一线治疗后进展
 
一线治疗2个周期后(2023年11月)复查CT示:纵隔、左肺门、左锁骨上窝、右心膈角区淋巴结稍大,肝门区淋巴结肿大,考虑淋巴结转移瘤可能;肝多发结节、肿块,脾内结节,均考虑转移瘤可能性大。
 
头颅MR示:小脑半球异常强化灶,考虑转移瘤较前增多增大;多个颈胸腰椎体及附件异常强化灶,考虑骨转移瘤;肝内多发结节及脾内结节,考虑转移瘤;肝门区及腹膜后多发增大淋巴结,考虑转移瘤。
 
治疗评价:PD;PFS=2个月。
 
▌晚期二线治疗
 
放疗:脑部暂无症状未进行放疗。
 
该患者乳腺癌为HR-/HER2低表达,一线化疗PFS仅2月,颅内颅外病灶均未得到控制。病例就诊时已有DESTINY-Breast04(DB-04)、ASCENT等3期临床研究报道[2-3]。DB-04研究T-DXd用于HR-/HER2-L患者可改善PFS(6.3 vs 2.9个月;HR 0.29,95CI:0.15~0.57)和OS(17.1 vs 8.3个月;HR 0.58,95%CI:0.31~1.08),该亚组为小样本的探索性队列(T-DXd和TPC分别有40例和18例),未分配统计学α值[3]。ASCENT研究SG用于HR-/HER2低表达患者同样可以改善PFS(6.2 vs 2.9个月;HR 0.44;95%CI:0.27-0.72;P=0.002)和OS(14.0 vs 8.7个月;HR 0.43;95%CI:0.28-0.67;P<0.001),样本量更大(SG组和TPC组分别有63和60例)且差异有显著统计学意义[6-7]。彼时2023版ESMO-MBC在线版指南将戈沙妥珠单抗作为TNBC(包括HER2低表达)二线治疗唯一具有1A类证据强度的首选方案[7];2023版CSCO指南中,戈沙妥珠单抗则是晚期TNBC二线解救治疗中唯一推荐的新型ADC[8]。因此,本例患者二线治疗选择戈沙妥珠单抗。
 
2023年11月14日开始二线治疗:戈沙妥珠单抗400mg,D1、D8。
 
△2023年ESMO-MBC在线版指南推荐
 
△2023年CSCO指南推荐
 
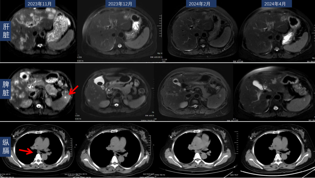
目前(截至2024年5月)患者已完成8个周期的戈沙妥珠单抗治疗。2023年12月、2024年2月及4月复查CT及MR如下图所示,肝、脾病灶和纵隔淋巴结、小脑转移病灶均有退缩、缓解。
 
△2023年11月以来复查胸腹部CT转移灶变化
 
△2023年12月以来复查头颅MR转移灶变化
 
疗效评价:最佳疗效PR;PFS2未达到(随访>6个月)。
 
▌病例小结
 
患者为HER2低表达型TNBC,新辅助治疗后non-pCR,呈肝、脾、骨、脑等多个脏器转移,自愿参加本科室优替德隆联合卡培他滨一线治疗临床研究疾病进展未得到控制,一线化疗PFS仅为2个月,接受戈沙妥珠单抗二线治疗获得PR,二线PFS已超过6个月。TNBC患者治疗药物较少,尤其是脑转移治疗难度较大,传统化疗不易达到颅内和颅外控制作用。本例患者在二线治疗接受戈沙妥珠单抗,获得较为满意的全身控制效果,验证了此类新型ADC对晚期乳腺癌具有较好的疗效和安全性,值得进一步在二线治疗中使用。
 
△本例患者的治疗经过概览
 
病例点评
 
本例HER2低表达型TNBC患者存在多系统转移,尤其是脑转移病灶极大增加了治疗难度。尽管在一线化疗中使用血脑屏障通透性更好的新型微管抑制剂优替德隆,也仅获得2月的PFS。患者在二线治疗使用戈沙妥珠单抗的治疗获得了疾病的控制。
 
SG属于新一代ADC,具有高药物抗体比(DAR)、旁观者效应等药物优势,这些优势也使得此类新型ADC在脑转移患者中也有较好的疗效。ASCENT研究入组了61例基线脑转移患者(SG组32例,TPC组29例),亚组分析显示戈沙妥珠单抗组患者的PFS是TPC组的将近2倍(2.8 vs 1.6个月,HR 0.65),3个月PFS提升幅度较大(41%vs 28%)[5]。此外,有多项真实世界研究验证了戈沙妥珠单抗治疗脑转移的疗效[9-11]。ASCENT研究证实HR-晚期乳腺癌患者中的疗效和安全性良好,目前NCCN、ESMO等国际权威指南均将其作为晚期TNBC二线治疗的优选方案[7,12];在国内CSCO指南中,SG也是唯一推荐的晚期TNBC二线治疗ADC[8]
 
本例患者的诊治经过表明,戈沙妥珠单抗可作为晚期TNBC二线治疗的优选方案;对于这类进展较快、一线治疗疗效有限的脑转移患者,如果二线使用戈沙妥珠单抗能更好的控制疾病。
 
审批编号:CN-TRO-0177
有效期至:2026年7月1日
 
参考文献
 
[1]Bansal R,Van Swearingen AED,Anders CK.Triple Negative Breast Cancer and Brain Metastases.Clin Breast Cancer.2023;23(8):825-831.doi:10.1016/j.clbc.2023.07.008
 
[2]Modi S,Jacot W,Yamashita T,et al.Trastuzumab Deruxtecan in Previously Treated HER2-Low Advanced Breast Cancer.N Engl J Med.2022;387(1):9-20.doi:10.1056/NEJMoa2203690
 
[3]Bardia A,Hurvitz SA,Tolaney SM,et al.Sacituzumab Govitecan in Metastatic Triple-Negative Breast Cancer.N Engl J Med.2021;384(16):1529-1541.doi:10.1056/NEJMoa2028485
 
[4]Shanu Modi,et al.Trastuzumab deruxtecan(T-DXd)versus treatment of physician’s choice(TPC)in patients(pts)with HER2-low unresectable and/or metastatic breast cancer(mBC):Updated survival results of the randomized,phase III DESTINY-Breast04 study.2023 ESMO BC Abstract#376O
 
[5]Véronique Diéras,et al.Subgroup analysis of patients with brain metastases from the phase 3 ASCENT study of sacituzumab govitecan versus chemotherapy in metastatic triple-negative breast cancer.Cancer Res(2021)81(4_Supplement):PD13-07.
 
[6]Hurvtiz A,Bardia A,Punie K,et al.Sacituzumab govitecan(SG)efficacy in patients with metastatic triple-negative breast cnacer(mTNBC)by HER2 immunohistochemistry(IHC)status:findings from the phase 3 ASCENT study.Presented at:European Society for Medical Oncology Breast Cancer Congress 2022.May 3-5,2022;Berlin,Germany
 
[8]ESMO Metastatic Breast Cancer Living Guideline.https://www.esmo.org/living-guidelines/esmo-metastatic-breast-cancer-living-guideline
 
[9]中国临床肿瘤学会(CSCO)指南工作委员会.CSCO乳腺癌诊疗指南(2023版).人民卫生出版社
 
[10]Loirat D,et al.Poster presented at:ESMO Breast Cancer 2023;May 11-13,2023;Berlin,Germany.Abstract#216P.
 
[9]Hanna D,et al.Presented at ESMO Breast Cancer Congress;May 11-13,2023;Berlin,Germany.Poster 232P.
 
[11]Alaklabi S,Elijah E,Roy AM,Groman A,Gandhi S.Real world outcomes of sacituzumab govitecan in metastatic breast cancer patients:a single institution experience.Poster presented at:40th Annual Miami Breast Cancer Conference;March 2-5,2023;Miami Beach,FL.
 
[12]NCCN Clinical Practice Guidelines in Oncology(NCCN Guidelines®BreastCancer Version 3.2024-June 17,2024
 
病例报告作者
 
刘斌亮教授
湖南省肿瘤医院乳腺内科主治医师
北京协和医学院/中国医学科学院肿瘤医院博士
湖南省乳腺癌单病种质控小组秘书
国际肿瘤心脏病学会(ICOS)中国分会委员
北京健康促进会肿瘤心脏病学专家委员会委员
2022年获华夏医学科技二等奖
Cancer Innovation、The Innovation杂志青年编委
Ebiomedicine、BMC Medicine、Heliyon等多家杂志审稿人
已发表各类学术文章40余篇,其中以第一/共同第一身份发表各类学术文章22篇,包括SCI文章13篇,累计影响因子77.2分(2023年),单篇最高影响因子>20分。参编《临床肿瘤内科手册(第7版)》、《肿瘤心脏病学》、《乳腺癌典型病例集锦》等著作4部,获得国家发明专利授权3项。主持湖南省自然青年在内的基金2项。
 
病例点评专家
 
刘莉萍教授
湖南省肿瘤医院乳腺内科主任医师
中国抗癌协会第一届乳腺癌整合防筛专业委员会委员
中国女医师协会乳腺专业委员会常委
长江学术带乳腺联盟常委
湖南省健康管理学会乳腺甲状腺健康管理专业委员会副主任委员
湖南省妇幼保健与优生优育协会生育力保护与保存专业委员会副主任委员
湖南省国际医学交流促进会乳腺癌专业委员会副主任委员
湖南省卫健委区域乳腺癌MDT专家组分组组长
湖南省医学会医学鉴定专家
湖南省肿瘤医院乳腺癌多学科会诊组专家
湖南省抗癌协会乳腺癌专业委员会常委
湖南省预防医学会乳腺疾病防治专业委员会常委
湖南省妇幼保健与优生优育协会妇科与乳腺肿瘤防治专业委员会委员
湖南省抗癌协会分子靶向治疗专业委员会委员
湖南省医学会乳腺癌规范化诊治专家巡讲团成员

 

本内容仅供医学专业人士参考


乳腺癌

分享到: 更多