当前位置:肿瘤瞭望>资讯>研究>正文

2023例“证”践行丨一例广泛期小细胞肺癌脑转移病例分享

作者:肿瘤瞭望   日期:2023/6/28 16:58:53  浏览量:11003

肿瘤瞭望版权所有,谢绝任何形式转载,侵犯版权者必予法律追究。

肺癌是肿瘤相关死亡率最高的恶性肿瘤[1]。小细胞肺癌是肺癌之中侵袭性最强的一种亚型,此类肿瘤恶性程度高、倍增时间短、易发生远处转移,初次就诊时即有约2/3患者被诊为广泛期,约占所有肺癌患者的15-20%,与吸烟关系密切。广泛期小细胞肺癌(extensive-stage SCLC,ES-SCLC)的有效治疗方案有限。

▌病例作者:潍坊市中医院张盈盈教授
▌点评专家:潍坊市中医院祝敬燕教授
 
摘要:肺癌是肿瘤相关死亡率最高的恶性肿瘤[1]。小细胞肺癌是肺癌之中侵袭性最强的一种亚型,此类肿瘤恶性程度高、倍增时间短、易发生远处转移,初次就诊时即有约2/3患者被诊为广泛期,约占所有肺癌患者的15-20%,与吸烟关系密切。广泛期小细胞肺癌(extensive-stage SCLC,ES-SCLC)的有效治疗方案有限。既往一线标准治疗方案为依托泊苷或伊立替康联合铂类药物化疗,有效率高达60-80%,但患者往往短期内出现复发、转移,中位生存期仅有10个月左右[2,3],5年总生存率仅为1%左右。但近几年来,随着PD-1和PD-L1等多种免疫检查点抑制剂(Immune checkpoint inhibitors,ICIs)相继应用于临床,ES-SCLC的治疗模式发生了改变,免疫联合化疗成为ES-SCLC患者新的治疗选择。PD-L1抑制剂联合化疗较单纯化疗可使ES-SCLC患者中位OS延长2-2.5个月[2-4],斯鲁利单抗作为上海复宏汉霖首款自主研发的创新生物药PD-1抑制剂,也是首个且目前唯一在ES-SCLC治疗中获得成功的PD-1抑制剂,为患者带来的生存获益更加明显。2022年ESMO-Asia上公布了更新的ASTRUM-005研究结果,斯鲁利单抗联合化疗组患者中位OS达15.8个月,较化疗组(11.1个月)延长了4.7个月[5]。此外,斯鲁利单抗的疗效已在食管癌、肠癌等多个瘤种中得到验证。本文通过分享一例伴脑转移ES-SCLC一线使用斯鲁利单抗联合化疗的用药经验,探讨免疫治疗在ES-SCLC中的应用与药物选择。
 
病例介绍
 
基本情况:刘某某,男,65岁
 
主诉:头痛、头晕、言语不利5天
 
首诊日期:2022-08-03
 
既往史:“2型糖尿病”病史20年,“高血压病”病史5年,最高达180/90mmHg左右,平时口服“缬沙坦胶囊1粒qd”,控制在140-150/80mmHg左右。既往有“冠状动脉粥样硬化性心脏病”病史,拒绝手术,口服“倍他乐克47.5mg qod、阿司匹林0.1g qod、欣康40mg qd、阿托伐他汀10mg qd”治疗
 
个人史:既往有吸烟史、饮酒史40余年,平素吸烟10支/日,未戒烟;饮啤酒1听/日
 
婚育史:育有一女
 
家族史:否认肿瘤家族史
 
查体:ECOG评分3分,左侧颈部可触及浅表淋巴结肿大。双肺呼吸音粗,可闻及痰鸣音,无胸膜摩擦音。右下肢肌力2级,双下肢无浮肿。腹壁反射、双侧腱反射正常,双侧巴宾斯基征(-)、脑膜刺激征未引出。足背动脉搏动减弱,双下肢10g尼龙丝压力觉、128Hz振动觉、针刺痛觉、温度觉减弱。
 
肿瘤标志物:
 
2022-08-03 CEA:72.17ug/L↑;NSE:102.2ug/L↑;ProGRP:100.11pg/mL↑
 
影像学检查:
 
2022-08-04颅脑MRI:右侧小脑半球、右侧额颞顶枕叶及左侧放射冠区异常密度影,考虑多发占位性病变。
 
图1.首诊颅脑MRI
 
2022-08-08胸腹盆腔CT:1、左肺上叶占位并左肺门多发肿大淋巴结,考虑肺Ca并淋巴结转移,建议穿刺活检;双侧肾上腺占位,考虑转移瘤;腹膜后淋巴结转移2、双肺上叶磨玻璃小结节,较前变化不著;原左肺下叶实性小结节,现未见明确显示3、双肺肺气肿,多发肺大泡;双肺下叶少许炎症;左肺下叶钙化灶4、主动脉壁及冠状动脉壁钙化斑块5、右侧第5肋低密度影,建议随诊复查。
 
骨扫描结果:右侧第5前肋腋侧点状异常放射性分布浓聚,结合胸部CT检查考虑为陈旧性病变所致(陈旧性骨折?),建议随诊复查(3-6个月)。
 
图2.首诊胸腹部CT
 
2022-08-08行肺穿刺。
 
病理结果:
 
2022-08-10病理结果:(肺穿刺活检):结合免疫组化结果倾向于小细胞癌。
 
免疫组化:CD56(+)、CgA(-)、CK7(-)、Ki-67(+约60%)、P40(-)、Syn(-)、TTF-1(+)。
 
初步诊断
 
1.左肺小细胞肺癌(广泛期,cT2N2M1c IVB期)
 
  腹膜后淋巴结继发恶性肿瘤
 
  脑继发恶性肿瘤
 
  肾上腺继发恶性肿瘤
 
2.2型糖尿病
 
3.高血压病
 
4.冠状动脉粥样硬化性心脏病
 
治疗经过
 
患者拒绝脑放疗,静脉输注甘露醇、甘油果糖、激素降颅压治疗。
 
2022-08-13、09-08、09-30、10-24、11-15、12-10行斯鲁利单抗300mg D1+依托泊苷100mg D1-5+顺铂30mgD1-4 Q3W方案治疗6周期。
 
2023-01-04、01-30、02-21、03-18斯鲁利单抗单药300mg Q3W维持治疗4个周期。
 
2023-04-19患者因心肌梗塞去世。
 
治疗最佳疗效评估:PR。
 
患者用药1周期后症状明显缓解,停用降颅压药物无头晕、头痛,可独立行走,语言功能恢复,肌力5级,感觉恢复正常。
 
图3.肿瘤标志物评价(折线图)
 
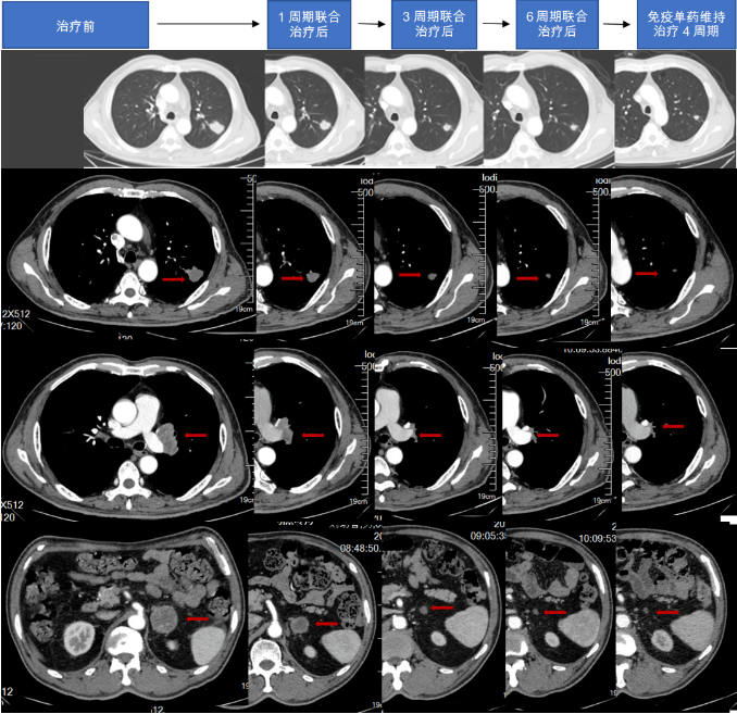
综合治疗1周期影像学报告(2022-09-07):结合病史,1、肺Ca复查,左肺上叶占位并左肺门多发肿大淋巴结,较前(2022-08-08)减小;双侧肾上腺占位,较前减小;腹膜后淋巴结转移,较前略减小;左侧颈部淋巴结转移,部分较前减小,请结合临床并复查。2、双肺肺气肿,多发肺大泡;双肺下叶少许炎症;左肺下叶钙化灶3、主动脉壁及冠状动脉壁钙化斑块。
 
综合治疗3周期影像学报告(2022-10-23):结合病史,肺Ca复查,左肺上叶占位,较前(2022.09.07)减小,左侧肺门淋巴结较前缩小;左侧肾上腺占位,较前减小;腹膜后小淋巴结,较前变化不著;左侧颈部淋巴结转移,较前减小。2、双肺肺气肿,多发肺大泡;双肺下叶少许炎症;左肺下叶钙化灶3、主动脉壁及冠状动脉壁钙化斑块。
 
综合治疗6周期影像学报告(2023-02-02):结合病史,肺Ca复查,左肺上叶占位,较前(2022.10.23)变化不著;左侧肺门淋巴结较前略缩小;左侧肾上腺占位,较前似略有减小;腹膜后小淋巴结,较前变化不著;左侧颈部淋巴结转移,较前减小2、双肺肺气肿,多发肺大泡;双肺下叶少许炎症;左肺下叶钙化灶3、主动脉壁及冠状动脉壁钙化斑块。
 
2023-03-18影像学报告:结合病史,肺Ca复查,左肺上叶占位,较前2023.02.02变化不著;左侧肺门淋巴结较前变化不著;左侧肾上腺占位,较前变化不著;腹膜后小淋巴结,较前变化不著;左侧颈部淋巴结转移,较前变化不著2、双肺上叶磨玻璃小结节,左肺下叶实性小结节,较前变化不著。3、主动脉壁及冠状动脉壁钙化斑块。
 
图4.治疗后胸腹部CT
 
2023年3月21日(维持治疗4周期后)颅脑MRI:右侧小脑半球、右侧颞、枕叶及双侧侧脑室旁、右侧半卵圆中心多发异常信号,对比2023.01.02号片右侧小脑半球、右侧颞叶病灶有减小。
 
图5.治疗后颅脑MRI
 
图6.维持治疗后颅脑MRI
 
安全性评价
 
治疗期间,定期复查谷丙、谷草转氨酶、UREA、CR等均在正常范围内;患者骨髓抑制II°,消化道反应0级;初期偶发皮疹,自行缓解。
 
病例作者
张盈盈
潍坊市中医院肿瘤三科主治医师
 
▌病例小结
 
该患者合并冠心病、2型糖尿病等多种基础疾病,初诊时颅高压症状明显,且合并多发腹腔淋巴结、肾上腺转移,2022年8月10日确诊为广泛期小细胞肺癌,PS评分3分,体力状况差、病期晚、预后差。
 
依据2022年CSCO指南,于2022年8月13日开始行斯鲁利单抗联合依托泊苷、顺铂治疗,用药1周期后停用降颅压药物无头晕头痛,可独立行走,语言功能恢复正常,肿瘤标志物明显下降,CT显示原发灶及淋巴结明显缩小。联合治疗1周期后疗效达到PR。肿瘤标志物1周期恢复正常。6周期联合治疗后,斯鲁利单抗单药维持治疗期间,肿瘤标志物稳定,影像学显示肿瘤持续缩小,且无新发病灶。患者一线PFS已达8个月,且在整个治疗过程中,患者未出现明显免疫相关不良反应(irAE),安全性良好。此案例显示,斯鲁利单抗在ES-SCLC有症状脑转移及PS评分差的患者中,仍显示出持久抗肿瘤效果,为ES-SCLC一线治疗提供新的方案选择。
 
病例点评
 
点评专家
祝敬燕
主任医师潍坊名医
潍坊市中医院肿瘤三科主任
山东中医药大学硕士研究生导师
山东省医药教育协会肺癌专业委员会常委
山东省健康管理协会消化道肿瘤防治专委会常委
山东省中西医结合学会肿瘤专业委员会常委
山东省中医药学会肿瘤专业委员会委员
山东省抗癌协会肺癌专业委员会委员
山东省医学会姑息医学分会委员
潍坊市中医药学会常务理事
潍坊市中西医结合学会常务理事
潍坊市中西医结合肿瘤专业委员会副主委
潍坊市中医药学会肿瘤专业委员会常委
潍坊市医学会姑息治疗专业委员会常委
 
小细胞肺癌占肺癌的15%-20%,其发展呈侵袭性,脑是小细胞肺癌患者发生转移的主要部位,也是患者死亡的重要原因。在既往依赖放化疗治疗小细胞肺癌时代,此类患者中位生存期仅4-6个月[6]。近些年,随着包含免疫治疗的综合治疗模式的发展,伴有脑转移的SCLC患者生存期较前有所延长,但小细胞肺癌脑转移的治疗问题仍然是目前影响SCLC患者生活质量和生存期的重大挑战之一。
 
该患者就诊时为有症状脑转移患者,依据CSCO指南建议先行全脑放疗,症状稳定后再进行系统治疗。但该患者入院时头痛明显,烦躁,无法配合放疗体位固定,仅能接受紧急药物降颅压治疗,患者头胀痛减轻,但仍有言语不利、肢体活动不利,该患者一线使用斯鲁利单抗联合化疗的治疗方案,症状快速缓解,生活质量明显提高,一周期后水肿带消失。斯鲁利单抗联合化疗治疗3周期后,影像学显示,脑转移灶明显缩小,6周期治疗后脑转灶消失。既往研究显示,少有单纯化疗对脑转移灶产生良好的控制效果,此案例显示了斯鲁利单抗对脑转移患者具有良好的抗肿瘤疗效。ASTRUM-005研究中,纳入12.9%的基线伴脑转移患者,为同类研究中入组脑转移患者比例最多的临床研究,研究结果显示,斯鲁利单抗联合治疗组脑转移患者OS达13.9个月,而对照组仅为10个月,HR 0.61(95%CI 0.33-1.13)[7]
 
目前较多的研究已经证实,免疫治疗可为肺癌脑转移患者带来获益[2-3,7-8]。原因可能是经过免疫治疗后,患者免疫系统激活,微脉管通透性能增加,因此体内大量的活化T细胞得以穿透血脑屏障,进而发挥颅内的抗肿瘤活性[9]
 
广泛期小细胞肺癌进展快,此患者应用免疫联合治疗后,疾病进展速度延缓,使得局部治疗手段(如:放疗、消融等)有了介入机会。有专家认为,如果患者在系统治疗过程中多病灶出现缓解,但是有部分病灶出现SD的状态,提示部分病灶可能存在耐药,这种情况下,研究表明,联合局部的治疗(HR,0.41;P=0.039)可以使患者获得更长生存[10]
 
2023-04-19患者因家中变故出现情绪失控,突发心肌梗塞离世,经全院MDT讨论,死因排除治疗相关因素。结合病史,患者既往有多种基础疾病:糖尿病、高血压病、冠状动脉粥样硬化性心脏病(2019-04-11冠状动脉CTA结果:左前降支LAD管腔重度狭窄、左旋支LCX起始部管腔重度狭窄、右冠状动脉RCA起始部管腔中度狭窄),本病例提示整体疗护也会影响患者最终生命进程。在临床工作中,需要临床工作者进行抗肿瘤治疗同时高度关注患者基础疾病管理,及时进行患者情绪疏导。
 
该患者一线治疗PFS已达8个月,经斯鲁利单抗联合化疗治疗后接近CR的效果。在真实世界中,斯鲁利单抗对肺癌脑转移患者疗效和安全性得到充分验证!
 
参考文献:
 
[1]Siegel R L,Miller K D,Jemal A.Cancer statistics,2020[J].CA Cancer J Clin,2020,70(1):7-30.
 
[2]Goldman J W,Dvorkin M,Chen Y,et al.Durvalumab,with or without tremelimumab,plus platinum-etoposide versus platinum-etoposide alone in first-line treatment of extensive-stage small-cell lung cancer(CASPIAN):updated results from a randomised,controlled,open-label,phase 3 trial[J].Lancet Oncol,2021,22(1):51-65.
 
[3]Liu S V,Reck M,Mansfield A S,et al.Updated Overall Survival and PD-L1 Subgroup Analysis of Patients With Extensive-Stage Small-Cell Lung Cancer Treated With Atezolizumab,Carboplatin,and Etoposide(IMpower133)[J].J Clin Oncol,2021,39(6):619-630.
 
[4]Wang J,Zhou C,Yao W,et al.CAPSTONE-1 Study Group.Adebrelimab or placebo plus carboplatin and etoposide as first-line treatment for extensive-stage small-cell lung cancer(CAPSTONE-1):a multicentre,randomised,double-blind,placebo-controlled,phase 3 trial.Lancet Oncol.2022 Jun;23(6):739-747.
 
[5]Ying Cheng,Liang Han,Lin Wu,et al.Updated results of first-Line Serplulimab vs Placebo Added to Chemotherapy on Survival in Patients With Extensive-Stage Small Cell Lung Cancer.2022EMSO ASIA
 
[6]Hochstenbag MM,TwijnstraA,WilminkJT,et al.Asymptomatic brain metastases(BM)in small cell lung cancer(SCLC):MR-imaging is useful at initial diagnosis[J].J Neurooncol,2000,48(3):243-248.
 
[7]Cheng Y,Han L,Wu L,et al.Effect of First-Line Serplulimab vs Placebo Added to Chemotherapy on Survival in Patients With Extensive-Stage Small Cell Lung Cancer:The ASTRUM-005 Randomized Clinical Trial[J].JAMA,2022,328(12):1223-1232.
 
[8]CrinòL,Bronte G,Bidoli P,et al.Nivolumab and brain metastases in patients with advanced non-squamous non-small cell lung cancer.Lung Cancer.2019;129:35-40.
 
[9]Zhou S,Xie J,Huang Z,et al.Anti-PD-(L)1 immunotherapy for brain metastases in non-small cell lung cancer:Mechanisms,advances,and challenges.Cancer Lett.2021;502:166-179.
 
[10]Schoenfeld AJ,Rizvi HA,et al.Systemic and

本内容仅供医学专业人士参考


小细胞肺癌

分享到: 更多