当前位置:肿瘤瞭望>资讯>正文

肺癌病例丨非小细胞肺癌ICI治疗有效后新发肝细胞癌

作者:肿瘤瞭望   日期:2023/1/6 11:12:00  浏览量:11045

肿瘤瞭望版权所有,谢绝任何形式转载,侵犯版权者必予法律追究。

随着免疫检查点抑制剂(ICI)等新型肿瘤治疗手段的出现,非小细胞肺癌(NSCLC)患者的生存率显著提高,我们有必要关注伴随而来的新原发恶性肿瘤发病率的增高。

随着免疫检查点抑制剂(ICI)等新型肿瘤治疗手段的出现,非小细胞肺癌(NSCLC)患者的生存率显著提高[1-4],我们有必要关注伴随而来的新原发恶性肿瘤发病率的增高。肺癌患者最常见的伴发恶性肿瘤包括结肠癌、直肠癌、食管癌和甲状腺癌[5],本文报告两位NSCLC患者接受了ICI治疗后发生罕见的原发性肝细胞癌(HCC)的病例。
 
病例描述
 
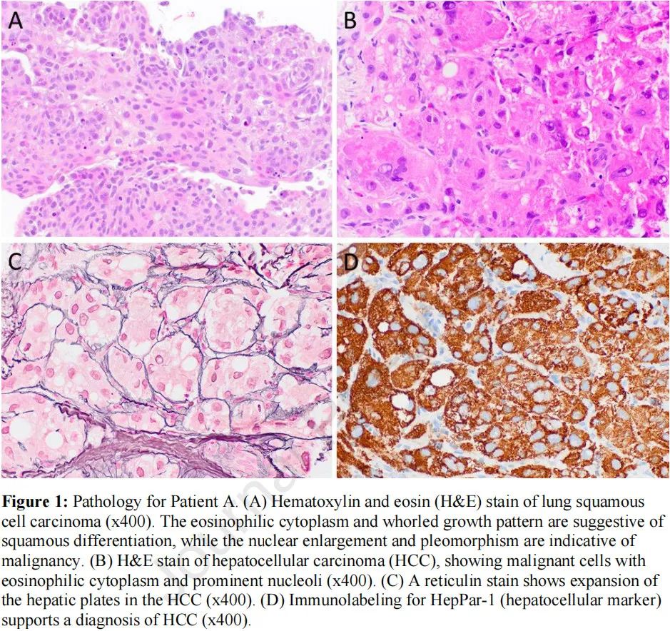
患者A为58岁的男性,2016年11月被诊断为IIIC期(cT4N2M0)肺鳞癌。患者有肝脂肪变性史,既往大量饮酒,吸烟史20包/年。血清HBV和HCV阴性。患者于2017年3月开始接受NSCLC治疗,采用卡铂和紫杉醇同步放化疗。然而,6个月后,活检显示右肺上叶局部复发(图1A)。该患者随后参加纳武利尤单抗、恩替司他和阿扎胞苷vs纳武利尤单抗单药治疗的临床试验,被分入单药治疗组,于2017年11月~2020年3月接受单药纳武利尤单抗治疗。患者因肝脏病变增大而退出试验。影像学回顾性检查发现,该肝脏病变自2018年5月以来一直存在,但病情稳定,疑似转移(图2A-D)。在纳武利尤单抗单药治疗期间,肺部肿瘤病情稳定。
 
图1
 
患者被转诊接受介入放射学引导下的肝活检,以进入临床试验。手术病理显示疑似HCC。2020年11月通过再次活检联合微波消融确诊了HCC(图1B-D)。鉴于患者的肺部疾病稳定,自2020年5月以来,该患者还在试验之外继续接受纳武利尤单抗单药治疗。但在2021年4月,他感染了新冠病毒SARS-CoV-2。在患者住院和HFNC治疗康复后,考虑到肺癌病情稳定和毒性风险,决定停用纳武利尤单抗。2021年12月,影像学检查显示微波消融通道尖端肝右叶轻度强化灶,考虑残留HCC。甲胎蛋白(AFP)保持稳定。患者于2022年2月接受了第二次微波消融治疗。随后的影像学检查显示没有明确的肿瘤残留,也没有新的肝脏病变。
 
图2
 
患者B是一名75岁男性,最初症状表现为上腔静脉综合征(SVC),2021年2月被诊断为IIIC期(T1N2MX)肺腺癌(图3A-B)。患者有HCV病史(2014年接受雷迪帕韦/索磷布韦治疗),烟草史为90包/年,值得关注的是癌症家族史(母亲患癌,类型未知)。诊断性PET/CT发现多个低密度肝脏病灶,不确定是否是转移灶(图4A-B)。为了更好地确定肝脏病变的特征,我们进行肝脏MRI随访,显示一个有明显包膜的多分隔的囊性病变(图4C-D)。患者随后接受了该病变的肝活检,结果显示为肝脏良性实质性病变。
 
图3
 
肺部原发病灶的二代测序未发现可靶向变异,因此患者开始接受卡铂和培美曲塞的同步放化疗,随后接受度伐利尤单抗巩固治疗。度伐利尤单抗治疗6个月后,患者出现肝功能化验值(LFTs)升高,考虑为ICI诱发的肝损伤(免疫相关不良事件[irAE]肝炎)。患者停用度伐利尤单抗,但2021年11月的腹部CT显示肝右叶病变明显增大。随后的PET/CT显示肝脏有高代谢病灶,提示疾病寡进展。肝脏活检显示其为低分化HCC,无irAE肝炎证据(图3C-D)。肝穿刺结果显示AFP升高到43.2 ng/mL。该患者随后被转诊给治疗HCC的同事,并于2022年1月接受了TACE治疗,并接受了两剂纳武利尤单抗治疗,以控制肝脏病变和肺部原发病变。TACE治疗后,患者AFP持续升高(19.5 ng/mL)。因此,他于2022年3月接受了第二次TACE,随访期间的影像学检查显示,肝脏肿块间隔性缩小。
 
图4
 
病例讨论
 
HCC作为非小细胞肺癌合并原发病灶的报道很少。这2例接受ICI治疗的NSCLC患者发生了与转移有关的肝脏病变,影像学检查和活检显示病变是新的原发性肝癌。由于肺癌肝转移的标准治疗方案与HCC的一线治疗方案不同,无论从NSCLC还是HCC的角度来看,不恰当的ICI停药均会导致较差的预后。接受ICI治疗的肺癌长期幸存者越来越多,这2例患者凸显在鉴别寡转移、新发原发恶性肿瘤方面需要高度敏锐,尤其是有其他癌症风险因素的患者。
 
寡进展肺癌的治疗通常采用局部手段(如SBRT)[6]或挽救性全身治疗。ICI治疗后疾病进展的标准挽救治疗为多西他赛化疗。然而,CheckMate-057和CheckMate-017的5年生存随访结果表明,接受纳武利尤单抗治疗的患者(如患者A)在2年时无进展的可能性为59.6%,5年生存率为82%。[7]同样,度伐利尤单抗巩固治疗III期NSCLC的5年OS改善至42.9%,而安慰剂组为33.4%。[8]如果对患者A停用纳武利尤单抗,对患者B停用度伐利尤单抗,然后去治疗“假定的”转移性病灶,可能导致合并原发性恶性肿瘤的治疗不达标。
 
对于患者的肝脏病变,我们分别采用了微波消融(MWA)和经动脉化疗栓塞(TACE)治疗。值得注意的是,两者都是HCC特异性治疗:MWA是一种较新的技术,可实现更大、更快的肿瘤消融,而TACE是不可切除HCC的标准治疗。[9,10]重要的是,两例患者对治疗均有良好应答,肺癌在持续ICI治疗后保持稳定。由于多种潜在原因,ICI治疗NSCLC和HCC的疗效存在差异,肿瘤和免疫细胞的相互作用(如抗原呈递和免疫细胞功能)可能发挥了作用。[11-14],抗PD-(L)1单药治疗HCC的临床试验已显示有效率较差,CheckMate-459中HCC患者接受纳武利尤单抗单药治疗的客观缓解率(ORR)为15%,KEYNOTE-240显示晚期HCC接受帕博利珠单抗单药治疗的ORR为18.4%[15-16],因此,这两位患者的原发性HCC在纳武利尤单抗和度伐利尤单抗单药治疗期间肿瘤生长并不令人惊讶。
 
这两例患者都有HCC的显著风险因素。患者A在首次诊断为NSCLC时有肝脂肪变性和大量饮酒史,患者B有HCV病史和癌症家族史。这些风险因素中有几个与NSCLC的风险因素重叠,例如吸烟、饮酒或HCV感染史。这些病例强调了治疗肿瘤的同时也应考虑患者的整体状况。肺癌患者的生存持续改善,伴随而来的是并发原发恶性肿瘤的可能性增加。因此,在改变系统治疗方案之前,适当考虑进行基于组织的诊断评估变得更加重要。
 
对于这两位患者中,诊断性活检和影像学检查是鉴别原发性HCC和NSCLC寡转移的关键。对于是否需要有创检查,与多学科团队对患者是否发生影像学进展进行讨论是不可或缺的一部分,而且多学科讨论对考虑或继续进行临床试验(如患者A)、开展进一步的分子学研究也特别重要。在患者预后方面,出现新的原发恶性肿瘤(如果早期进行积极的局部治疗可治愈)接受ICI治疗可持续获益,与诊断为NSCLC转移从而换用其他方法的获益有很大不同。此外,疾病进展、治疗失败和治疗的延迟对社会心理的影响也不能低估。由于接受ICI治疗的NSCLC患者的生存期和健康状况维持时间较长,必须确保患者接受了适当的筛查,评估了其他伴随的恶性肿瘤。如果不对患者进行组织检查,就停用有效的ICI治疗而采用挽救性化疗,这将导致疾病控制不佳。针对HCC,我们需要通过进一步研究来了解潜在的机制,从而指导筛查和治疗策略。
 
结论
 
我们报告了2例NSCLC患者在接受ICI治疗时并发HCC的病例。对于这两例患者的肝脏病变,利用诊断性活检确定患者进入临床试验的资格以及耐药机制、对新原发恶性肿瘤和肝转移进行区分、采用HCC特异性治疗均产生了积极的结果。随着肺癌ICI治疗长期疗效的改善,对于影像学改变(转移or新发病灶),应注意进行鉴别诊断。
 
来源
 
Cheunkarndee T,Guo MZ,Birkness-Gartman JE,Oshima K,Lin CT,Marrone KA,Two Cases of Subsequent Hepatocellular Carcinoma in ICI-Responsive Non-Small Cell Lung Cancer,JTO Clinical and Research Reports(2023),doi:https://doi.org/10.1016/j.jtocrr.2022.100448
 
参考文献
 
1.Antonia SJ,Villegas A,Daniel D,et al.Overall Survival with Durvalumab after doi:10.1056/NEJMoa1809697 Squamous-Cell Non–Small-Cell Lung Cancer.N Engl J Med.2015;373(2):123-135.
 
2.Brahmer J,Reckamp KL,Baas P,et al.Nivolumab versus Docetaxel in Advanced doi:10.1056/NEJMoa1504627
 
3.Borghaei H,Paz-Ares L,Horn L,et al.Nivolumab versus Docetaxel in Advanced Nonsquamous Non–Small-Cell Lung Cancer.N Engl J Med.2015;373(17):1627-1639.doi:10.1056/NEJMoa1507643
 
4.Garon EB,Hellmann MD,Rizvi NA,et al.Five-Year Overall Survival for Patients With Advanced Non?Small-Cell Lung Cancer Treated With Pembrolizumab:Results From the Phase I KEYNOTE-001 Study.J Clin Oncol.2019;37(28):2518-2527.
 
doi:10.1200/JCO.19.00934
 
5.Li F,Zhong WZ,Niu FY,et al.Multiple primary malignancies involving lung cancer.BMC Cancer.2015;15(1):696.doi:10.1186/s12885-015-1733-8
 
6.Stephens SJ,Moravan MJ,Salama JK.Managing Patients With Oligometastatic Non–Small Cell Lung Cancer.J Oncol Pract.2018;14(1):23-31.doi:10.1200/JOP.2017.026500
 
7.Borghaei H,Gettinger S,Vokes EE,et al.Five-Year Outcomes From the Randomized,Phase III Trials CheckMate 017 and 057:Nivolumab Versus Docetaxel in Previously Treated Non–Small-Cell Lung Cancer.J Clin Oncol.2021;39(7):723-733.doi:10.1200/JCO.20.01605
 
8.Spigel DR,Faivre-Finn C,Gray JE,et al.Five-Year Survival Outcomes From the PACIFIC Trial:Durvalumab After Chemoradiotherapy in Stage III Non–Small-Cell Lung Cancer.J Clin Oncol.2022;40(12):1301-1311.doi:10.1200/JCO.21.01308
 
9.Abdelaziz AO,Nabeel MM,Elbaz TM,et al.Microwave ablation versus transarterial chemoembolization in large hepatocellular carcinoma:prospective analysis.Scand J Gastroenterol.2015;50(4):479-484.doi:10.3109/00365521.2014.1003397
 
10.Raoul JL,Forner A,Bolondi L,Cheung TT,Kloeckner R,Baere T de.Updated use of TACE for hepatocellular carcinoma treatment:How and when to use it based on clinical evidence.Cancer Treat Rev.2019;72:28-36.doi:10.1016/j.ctrv.2018.11.002
 
11.Onuma AE,Zhang H,Huang H,Williams TM,Noonan A,Tsung A.Immune Checkpoint Inhibitors in Hepatocellular Cancer:Current Understanding on Mechanisms of Resistance and Biomarkers of Response to Treatment.Gene Expr.2020;20(1):53-65.doi:10.3727/105221620X15880179864121
 
12 Sangro B,Sarobe P,Hervás-Stubbs S,Melero I.Advances in immunotherapy for hepatocellular carcinoma.Nat Rev Gastroenterol Hepatol.2021;18(8):525-543.doi:10.1038/s41575-021-00438-0
 
13.Lin KR,Deng FW,Jin YB,et al.T cell receptor repertoire profiling predicts the prognosis of HBV-associated hepatocellular carcinoma.Cancer Med.2018;7(8):3755-3762.doi:10.1002/cam4.1610
 
14.Giraud J,Chalopin D,Blanc JF,Saleh M.Hepatocellular Carcinoma Immune Landscape and the Potential of Immunotherapies.Front Immunol.2021;12:655697.doi:10.3389/fimmu.2021.655697
 
15.Yau T,Park JW,Finn RS,et al.Nivolumab versus sorafenib in advanced hepatocellular carcinoma(CheckMate 459):a randomised,multicentre,open-label,phase 3 trial.Lancet Oncol.2022;23(1):77-90.doi:10.1016/S1470-2045(21)00604-5

本内容仅供医学专业人士参考


非小细胞肺癌

分享到: 更多