当前位置:肿瘤瞭望>资讯>正文

BMC CANCER杂志刊登中国研究:克唑替尼治疗ALK融合和c-Met过表达共存肺癌患者疗效显著?

作者:肿瘤瞭望   日期:2018/12/5 10:48:06  浏览量:30197

肿瘤瞭望版权所有,谢绝任何形式转载,侵犯版权者必予法律追究。

11月26日,广东省肺癌研究所联合北京肿瘤医院肿瘤内科团队两中心合作发表一项回顾性研究,探索克唑替尼在同时伴有ALK融合和c-Met过表达晚期非小细胞肺癌(NSCLC)患者的疗效。

编者按: 
 
11月26日,广东省肺癌研究所联合北京肿瘤医院肿瘤内科团队两中心合作发表一项回顾性研究,探索克唑替尼在同时伴有ALK融合和c-Met过表达晚期非小细胞肺癌(NSCLC)患者的疗效。研究结果在线发表在BMC CANCER杂志上(https://doi.org/10.1186/s12885-018-5078-y)。该文通讯作者为广东省肺癌研究所杨衿记教授,共同第一作者为北京肿瘤医院赵军教授。
 
 研究背景
 
靶向治疗引领了肺癌治疗范式的转变,将肺癌治疗带入精准医学时代。在64%的肺腺癌患者中至少能发现一种基因异常。在晚期NSCLC患者中,EML4-ALK融合基因阳性率约为3%~13%,多项临床研究表明这部分患者接受靶向治疗可获得非常显著的疗效。既往不少研究表示,ALK融合与EGFR突变和KRAS突变一般是互斥的。但随着检测技术的发展,近年来临床上发现,仍有约0.3%~1.3%的患者同时存在EGFR突变与ALK融合。相类似地,ALK融合和c-Met 过表达也有共存的情况。克唑替尼是一款多靶点蛋白激酶抑制剂,在ALK融合和c-Met过表达患者中都有良好疗效。这项中国学者开展的回顾性研究探索了ALK融合与c-Met过表达在晚期NSCLC中共存的发生率,以及克唑替尼在这类患者的疗效。
 
 研究方法
 
这项研究在两个中心共纳入的4622例晚期NSCLC患者进行ALK基因检测(广东省肺癌研究所2011年1月~2016年12月纳入3762例,北京大学肿瘤医院2015年1月~2016年12月纳入860例)。ALK融合定义为Ventana IHC、RACE-PCR或FISH任一方法检测出阳性。在ALK融合阳性患者中采用免疫组化方法检测c-Met蛋白表达情况,c-Met过表达定义为≥50%肿瘤细胞强染色(强染色,蛋白表达为3+)。这项研究旨在探索克唑替尼在ALK融合和c-Met过表达共存晚期NSCLC患者中的疗效。
 
研究流程
 
 研究结果
 
1. ALK融合和c-met过表达共存NSCLC患者的发生率
 
研究人员共检测出282例患者为ALK融合阳性,筛选出160例有足够组织的患者进行c-Met检测,分析发现这160例ALK融合病例中16例c-Met过表达,发生率为10.0%(16/160)。
 达共存NSCLC患者中的疗效
 
2. 克唑替尼在ALK融合和c-Met过表达共存NSCLC患者中的疗效
 
根据c-Met表达情况将患者分为两组,c-Met过表达组和无c-Met过表达组患者的临床病理特征基本均衡。共有116例ALK融合患者接受克唑替尼治疗,其中15例存在c-Met过表达,101例患者无c-Met过表达。两组的客观缓解率(ORR)分别为86.7%(13/15)和59.4%(60/101)(P=0.041)。
 
克唑替尼治疗的ORR
 
3. 克唑替尼在ALK融合和c-Met过表达共存NSCLC患者的PFS和OS
 
c-Met过表达ALK融合组的中位PFS为15.2月,比无c-Met过表达ALK融合组的11.0月长,有临床获益趋势(P=0.263)。无c-Met过表达组的中位总生存(OS)为33.5个月(95%CI: 24.8-41.1),c-Met过表达组还未达到(HR=3.2; 95%CI:1.06-4.67, P=0.031),两组之间差异有统计学意义。多因素COX回归分析显示ECOG PS评分是影响OS的独立预后因素(HR=2.6; 95% CI:1.29-5.41, P=0.008)。
 
(C) 克唑替尼在有无c-Met过表达和ALK融合组的中位PFS;  (D) 克唑替尼在有无c-Met过表达和ALK融合组的中位OS 
 
 研究结论
 
c-Met过表达与ALK融合可以共存在少数晚期NSCLC中。对于伴有c-Met过表达的ALK融合晚期NSCLC患者,克唑替尼可能有良好的疗效。未来仍须需要进一步研究来证实这结论并深入阐明相关的分子机制。
 
讨论&总结
 
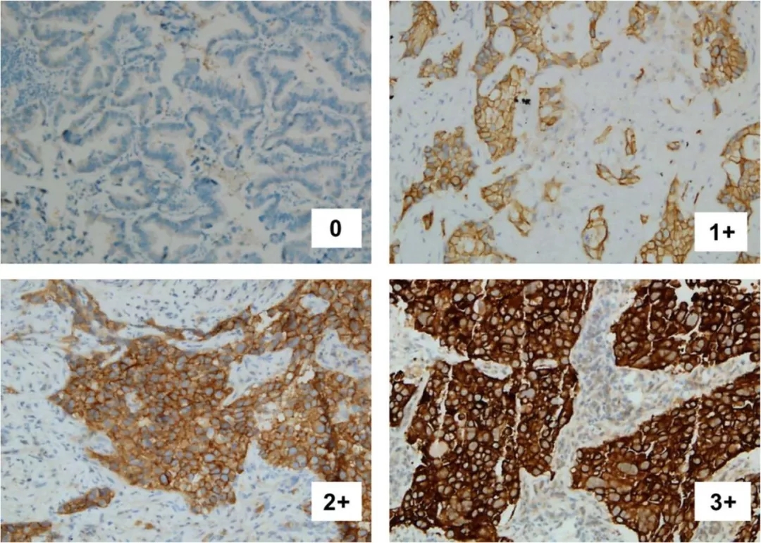
这是本研究首次发现克唑替尼给ALK融合和c-Met过表达(≥50%肿瘤细胞蛋白表达强染色3+)共存晚期NSCLC患者带来临床获益。c-Met过表达在160例ALK融合晚期NSCLC发生率为10%。而在既往Tsuta和Feng教授分别开展的两项研究中,c-Met过表达的发生率分别为29.2%和58.8%,前者将c-Met过表达定义为≥10%肿瘤细胞染色,后者为≥50%肿瘤细胞中高强度染色,且研究对象为早期和晚期NSCLC西方人群。然而,本研究纳入的患者都为亚洲人群,且c-Met过表达定义为≥50%肿瘤细胞蛋白表达强染色。因此,c-Met过表达在ALK融合患者的发生率与种族以及c-Met过表达定义有关。
 
使用SP44兔单克隆抗体进行c-Met IHC染色评分0~3+的典型例子
 
克唑替尼能同时抑制ALK和c-Met通路的激活。既往多项临床试验表明,克唑替尼一线治疗ALK融合患者的ORR可达74%,中位PFS为10.9个月。克唑替尼在原发性c-Met 过表达患者中的ORR为58%。因此,克唑替尼治疗ALK融合和c-Met 过表达共存肿瘤可能有更显著的疗效。然而,既往很少研究报道克唑替尼在ALK融合和c-Met过表达共存晚期NSCLC的疗效。Feng et al研究只报道过6例ALK融合和c-Met过表达共存晚期NSCLC患者接受克唑替尼治疗,2例获得PR,4例SD疗效。本研究发现,在16例ALK融合和c-Met过表达共存的晚期NSCLC中,克唑替尼可获得良好的ORR和OS,PFS有改善的趋势。未来可进一步探讨这部分共存患者对c-Met抑制剂与ALK抑制剂联合治疗的反应。
 
参考文献
 
Chen RL, Zhao J,  Wu YL, Yang JJ, et al. Crizotinib in advanced non-small-cell lung  cancer with concomitant ALK rearrangement and c-Met overexpression.  BMC Cancer (2018) 18:1171. https://doi.org/10.1186/s12885-018-5078-y
 
专家简介
 
杨衿记教授
 
肿瘤学博士,内科肿瘤学主任医师,博士生导师。
 
广东省人民医院肿瘤中心党总支书记/主任、肿瘤中心肺一科主任 。广东省抗癌协会肺癌专业委员会主任委员;中国临床肿瘤学协会(CSCO)理事。曾留学丹麦和美国,主要研修临床肿瘤学早期临床试验。
 
主攻肺癌MDT与精准治疗。在研国家自然科学基金面上项目1项(主持人)、在研国家科技部慢病重大项目子课题1项(负责人)。研究方向:双驱动基因肺癌、肺癌c-Met分子信号转导通路、肺癌分子靶向治疗的原发与继发耐药、IO治疗的精准化。近几年来以第一/通信作者在the Lancet Respiratory Medicine、Annals of Oncology和Clinical Cancer Research等杂志上发表SCI论文19篇,最高IF2017:21.466。以共同完成人获得国家科技进步奖二等奖1次、中华医学科技奖一等奖1次、省科学技术一/二等奖各2次 。
 
专家简介
 
赵军教授
 
北京肿瘤医院胸部肿瘤内一科
 
科室副主任 主任医师 内科教研室主任
 
北京医学奖励基金会 肺癌青年委员会 主任委员
 
中国抗癌协会 呼吸内镜分会委员
 
精准医学与肿瘤康复专委会常委
 
中国老年学会老年肿瘤专业委员会委员
 
肿瘤防治研究杂志 编委
 
中国肿瘤临床杂志 审稿专家
 
Chinese Journal of Cancer Research审稿专家

本内容仅供医学专业人士参考


肺癌

分享到: 更多